در دانشگاه مک‌مستر کانادا انجام شد

تشخیص کمبود ویتامین D از عکس رادیولوژی دندان!

کمبود ویتامین D نه تنها باعث مشکلات استخوانی مانند راشیتیسم یا نرمی استخوان می‌شود، بلکه خطر ابتلا به بیماری‌های قلبی عروقی را نیز افزایش می‌دهد. اکنون محققان می‌توانند به راحتی از روی عکس رادیولوژی گرفته شده از دندان به کمبود این ویتامین در بدن پی ببرند.

به گزارش ایسنا و به نقل از گیزمگ، کمبود ویتامین D در بدن موجب انواع مشکلات استخوانی همچون نرمی و پوکی استخوان می‌شود. علاوه بر این، کمبود ویتامین D یکی از شایع‌ترین کمبودهای ویتامین است.

خبر خوب این است که دندانپزشک شما ممکن است به زودی بتواند آن را قبل از اینکه تبدیل به مشکل بزرگی شود، شناسایی کند.

لوری دورتنزیو و مگان بریکلی، انسان‌شناسان دانشگاه مک‌مستر(McMaster) کانادا اکنون می‌دانند که این امکان وجود دارد که با بررسی دندان‌های افرادی که قرنها پیش زندگی می‌کرده‌اند، به کمبود ویتامین D در بدنشان در زمان حیاتشان پی ببرند.

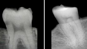
آنها دریافتند که پاسخ در شکل پالپ دندان قرار دارد که سایه تاریک در وسط یک تصویر رادیولوژی دندان است.

در یک فرد سالم، این قسمت دندان به شکل یک قوس بالای دو شاخ است. با این حال، در افرادی که دچار کمبود ویتامین D هستند، شکل پالپ نامتقارن و سفت و سخت است.

همانطور که معلوم است، این یافته نه تنها در دندان‌های افرادی که مدت زیادی است فوت کرده‌اند، بلکه در افرادی که هنوز زنده هستند نیز اعمال می‌شود.

در صورتی که عکس رادیولوژی دندانپزشکی، کمبود ویتامین D را نشان دهد، می‌توان از آزمایش خون برای تایید آن استفاده کرد.

بریکلی می‌گوید: من فکر می‌کنم این یافته واقعا مهم است. این کاری بود که با هدف بررسی بیشتر افراد درگذشته شروع شد، اما اکنون این توانایی را دارد که به مراقبت‌های بهداشتی مدرن نیز کمک کند.

مقاله‌ای در مورد این تحقیق اخیرا در مجله بین المللی پالئوپاتولوژی (International Journal of Paleopathology) منتشر شده است.

انتهای پیام

  • چهارشنبه/ ۱۷ آبان ۱۳۹۶ / ۱۶:۰۶
  • دسته‌بندی: فناوری
  • کد خبر: 96081710404
  • خبرنگار : 71589