به گزارش ایسنا به نقل از سایت دکتر ایلناز پورنصیری، بعضی از انتخابها میتواند نتایج جبرانناپذیری برای ما داشته باشد؛ مخصوصاً اگر پای سلامت بدنیمان در میان باشد؛ به همین دلیل بسیار حائز اهمیت است که برای ترمیم و زیبایی دندانهایتان بتوانید یک کلینیک دندانپزشکی خوب در رشت پیدا کنید.
با یک انتخاب درست، از سلامت دندانهایتان مطمئن میشوید و گریبانگیر مشکلاتی مثل عفونت لثه، عفونت دهان و آسیبدیدگی دیگر دندانهایتان نمیشوید.
در یک کلینیک دندانپزشکی خوب با نوبتدهی به موقع، مشاوره درست، قیمت مناسب و تخصص بالا به حفظ و بهبود سلامت دندان های شما رسیدگی میشود؛ همچنین تجهیزات و امکانات محیطی، پرسنل موظف و اخلاق کاری جزء اولین مسائلی است که در انتخاب یک کلینیک دندانپزشکی خوب به چشم میآید.

متخصص ایمپلنت در رشت
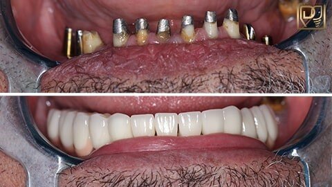
با مراجعه به یک متخصص ایمپلنت در رشت میتوانید به صورت دائمی دندانهای از دسته رفتهتان را بازگردانید. کاشت دندان در قالب ایمپلنت یکی از روشهای بازیابی دندانهای کشیده شده است.
ایمپلنت یک میله از جنس تیتانیوم است که در لثه کاشته میشود و نقش ریشه دندان را دارد. چند ماه بعد از کاشت ایمپلنت برای اتمام مراحل کار و گذاشتن روکش دندان دوباره به دکتر متخصص ایمپلنت خود مراجعه میکنید.
کاشت ایمپلنت دندان، غذا خوردن و صحبت کردن را برای شما راحت میکند و زیبایی دندانها و چهرهی شما را میافزاید.
دکتر لمینت دندان در رشت
شاید برایتان سؤال باشد که بهترین دکتر لمینت دندان در رشت کیست؟ امروزه در زمینه دندانپزشکی زیبایی دکترهای بسیار خوبی در رشت و سایر استانها پیدا میشود که یکی از آنها دکتر ایلناز پورنصیری است.
امروزه با پیشرفت متدهای دندانپزشکی داشتن دندانهای سفید و مرتب دیگر یک حسرت نیست. به راحتی میتوانید بخندید و صحبت کنید و چیزی برای خجالت کشیدن و قایم کردن نداشته باشید.
لمینت دندان لایه نازکی است که روی دندانها قرار میگیرد و باعث اصلاح فرم، اندازه، طول و رنگ دندانها میشود و به شما لبخندی زیبا و منحصر به فرد میبخشد.

دندان مصنوعی ژلهای در رشت
برای ساخت دندان مصنوعی ژلهای در رشت میتوانید از خدمات کلینیک تخصصی ما استفاده کنید. استفاده از پروتز دندانی که به دندان مصنوعی معروف است از دیگر روشهای بازیابی دندانهای از دست رفته است.
جنس دندان مصنوعی ژلهای از اکریلیک و نایلون بوده و به خاطر انعطافپذیری و فشار کم جایگزین خوبی برای دندانهای از دست رفته میباشد.
اگر هزینه کافی برای کاشت ایمپلنت را ندارید ما به شما استفاده از دندان مصنوعی ژلهای و مزیتهای آن را پیشنهاد میکنیم. البته باید دقت داشته باشید که رعایت نکات بهداشتی و تمیز نگه داشتن پروتز دندان برای حفظ سلامت لثه و دیگر دندانهایتان بسیار پراهمیت است.
آشنایی با خانم دکتر ایلناز پورنصیری
دکتر ایلناز پورنصیری فارغالتحصیل دوره عمومی از دانشگاه شهید بهشتی و فارغالتحصیل دوره تخصصی از دانشگاه تهران میباشد. ایشان دارای بورد تخصصی بوده و به عنوان هیئت علمی دانشگاه گیلان به مدت 7 سال سابقه کار دارند.
مهارت و تخصص کافی از مؤلفههای بسیار حیاتی در انتخاب دندانپزشک میباشد. با دیدن نمونه کارها، رضایت مراجعان و گرفتن مشاوره مستقیم میتوانید از میزان تخصص و تبحر دکتر ایلناز پورنصیری اطمینان پیدا کنید.
انتهای رپرتاژ آگهی


نظرات