به گزارش ایسنا و به نقل از ام.آی.تی نیوز، شاید تحلیل خون بیماران مبتلا به "کمخونی داسیشکل"(SCD) بتواند چگونگی تراکم سلول را مشخص کند.
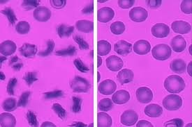
کمخونی داسیشکل، یک بیماری ژنتیکی و نوعی اختلال خونی است که با هموگلوبین معیوب(Hbss) شناخته میشود. هموگلوبین طبیعی صاف و گرد است و به سلول، اجازه عبور آسان از مویرگهای خونی را میدهد. هموگلوبینهای سلول داسی، سفت و به شکل داس میباشند و تمایل دارند به شکل خوشهای در کنار یکدیگر قرار گیرند؛ بنابراین به راحتی از مویرگهای خونی عبور نمیکنند. این خوشهها، منجر به توقف جریان خون حملکننده اکسیژن میشوند.

یکی از متداولترین عوارض جانبی این بیماری هنگامی رخ میدهد که گلبولهای خونی تغییر شکل یافته، به شکل یک توده درمیآیند و رگهای خونی باریک را مسدود میکنند؛ در نتیجه درد شدید و تورم پدید میآید.
پژوهش جدیدی که در دانشگاه "ام.آی.تی"(MIT) انجام شد، چگونگی رخ دادن این تغییرات و بروز درد را توضیح میدهد. یافتههای این پژوهش، گامی به سوی پیشبینی زمان بروز چنین بحرانی است.
"مینگ دائو"(Ming Dao)، دانشمند بخش مهندسی و علوم ماده و پژوهشگر ارشد این پروژه گفت: این بحرانهای دردناک، غیرقابل پیشبینی هستند. اگرچه ما دلیل بروز آنها را میدانیم اما تاکنون، روش خوبی برای پیشبینی زمان دقیق نداشتهایم.

پژوهشگران، بیشتر احتمال میدهند که گلبولهای خونی نابالغ موسوم به "رتیکولوسیت"(reticulocyte)، عامل اصلی بروز این رخدادهای دردناک باشند. رتیکولوسیتها، گلبولهای قرمز نارسی هستند که معمولا حدود یک درصد از سلولهای قرمز بدن انسان را تشکیل میدهند.
این پژوهش، در مجله علمی "PNAS" به چاپ رسید.
انتهای پیام


نظرات