سیستم تحلیل سریع
برای دسترسی به اخبار قدیمیتر، در منوی مربوطه سال و ماه را محدود کنید.
-
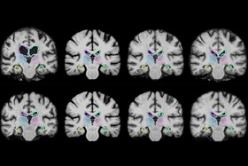
محققان ام.آی.تی محقق کردند؛
ابداع سیستم عکسبرداری و تحلیل سریع در حین جراحی
موسسه فناوری ماساچوست(MIT) یک سیستم عکسبرداری سریع پزشکی ابداع کردهاند که تصویرهای 3 بعدی را با سرعت 1000 برابر نسبت به قبل تحلیل و به پزشکان در حین عمل جراحی کمک میکند.